Invisalign®

Invisalign® Services in City of Orange, CA

Discreet, Comfortable, and Effective Orthodontics with Dr. Russell Kelly, DDS

If you’re ready to stop hiding behind crooked or misaligned teeth, Invisalign® may be the ideal solution for achieving a beautifully aligned smile—without the hassle of traditional braces. At Dr. Russell Kelly, DDS, we offer custom-made, virtually invisible Invisalign® aligners to help patients achieve a confident, perfectly balanced smile with ease and comfort.

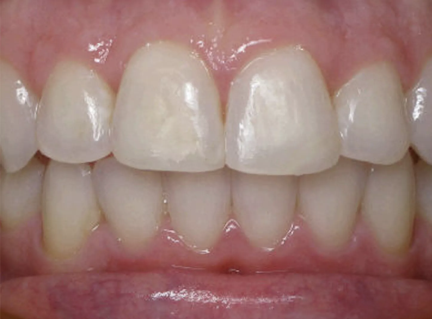
Before After

Invisalign Q & A:

What is Invisalign®?

Invisalign® is a modern alternative to traditional braces, using clear, removable aligners to gradually straighten teeth and correct malocclusions (bite misalignment issues). Made from BPA-free SmartTrack® material, these aligners gently guide teeth into position while remaining virtually undetectable—allowing you to straighten your smile discreetly and comfortably.

How does Invisalign® work?

Invisalign® functions similarly to braces, applying precise, controlled forces to move teeth into their ideal positions. However, unlike metal braces, which apply force all at once, Invisalign® aligners shift teeth progressively, one step at a time, making the process more comfortable and efficient.

With Invisalign®, there’s no need for tightening appointments or adjustments—instead, you’ll simply switch to a new set of aligners every two weeks, each designed to gradually move your teeth into perfect alignment.

Unlike conventional braces, you don’t need to attend tightening appointments for Invisalign®. Instead, you wear a new set of aligners to target different teeth and apply varying levels of force every two weeks.

the benefits of Invisalign®?

Invisalign® is a safe, effective treatment to correct orthodontic and periodontal concerns, such as misaligned teeth, an overbite, an underbite, or an open bite. When combined with Dr. Russell Kelly, DDS, it offers the following benefits:

Newport Dental Arts Invisalign Provider Logo

What to Expect from Invisalign® with Dr. Russell Kelly, DDS

The Invisalign process is almost entirely digital for comfort, convenience, and accuracy.

Step 1: Digital Impressions & Personalized Treatment Plan
  • Using advanced iTero® intraoral scanning technology, Dr. Kelly creates a fully customized Invisalign® treatment plan, mapping out the precise movements of your teeth. These scans are then uploaded to Invisalign’s proprietary software, where we can digitally design your aligners for optimal precision and comfort.
Step 2: Fabrication of Your Custom Aligners
  • Once your digital treatment plan is finalized, your custom Invisalign® aligners are fabricated using cutting-edge 3D printing technology. Each aligner is designed to gradually shift your teeth, ensuring optimal alignment and efficiencythroughout the process.
Step 3: Progress Tracking & Aligner Updates
  • Every two weeks, you’ll switch to a new set of aligners, each designed to bring your smile one step closer to perfection. Throughout your treatment, Dr. Kelly will monitor your progress and make adjustments as needed, ensuring your treatment stays on track.
Before After

Maintaining Your Invisalign® Treatment for Best Results

To ensure optimal results, it’s essential to:

  • Wear your aligners at least 22 hours per day to maintain consistent progress.
  • Clean your aligners daily by gently rinsing and brushing them with a soft toothbrush.
  • Avoid eating or drinking anything other than water while wearing aligners to prevent staining.
  • Schedule regular check-ins with Dr. Kelly to ensure your treatment remains on schedule.
Begin Your Invisalign® Journey with Dr. Russell Kelly, DDS

A straighter, more confident smile is within reach with Invisalign® at Dr. Russell Kelly, DDS.

Conveniently located in City of Orange, CA, we proudly serve patients from Anaheim, Tustin, Villa Park, and beyond, offering high-end orthodontic care in a comfortable, boutique-style setting.

Ready for a Confident, Perfectly Aligned Smile?
Take the first step toward achieving the beautiful, straight smile you’ve always wanted. Schedule your private Invisalign® consultation today with Dr. Russell Kelly, DDS and discover the power of discreet, advanced orthodontic treatment.