“A beautiful smile is more than just aesthetics—it’s a reflection of confidence and harmony. Every patient has unique facial features, and we carefully consider the shape of your smile, the health of your gums, and the natural balance of your facial structure.

At Dr. Russell Kelly, DDS, we combine artistry with advanced dental technology to craft life-changing smiles. Using state-of-the-art techniques and a meticulous approach, we help patients achieve results that look and feel completely natural.”

Your Smile Is Everything!

Schedule Your Smile Makeover Today

...Dr Russell Kelly

Patient Testimonials

At Dr. Russell Kelly, DDS, we believe that every smile tells a story—and we’re here to help you create yours. As a leading provider of cosmetic, restorative, and general dentistry in Orange County, we use the latest advancements in dental aesthetics and technology to transform smiles with precision and artistry.

Whether you’re seeking a full smile makeover, porcelain veneers, Invisalign®, teeth whitening, or dental implants, our goal is to provide a comfortable, luxury dental experience with personalized treatment plans tailored to your unique needs.

📍 Located in City of Orange, CA, we proudly serve patients from Anaheim, Tustin, Villa Park, and surrounding communities who want the highest level of dental expertise and care.

🔹 Your Perfect Smile Starts Here
Ready to enhance your smile? Schedule a consultation today with Dr. Russell Kelly, DDS, and take the first step toward a healthier, more radiant you.

🌍 Our team is fluent in Farsi and Spanish to ensure every patient feels at home in our practice.

Welcome To City of Orange Dentist
Dr. Russell Kelly

List of Services

Teeth Whitening

A brilliant, radiant smile is the ultimate expression of confidence. At Dr. Russell Kelly, DDS, we offer luxury teeth whitening treatments designed to deliver stunning, natural-looking results with precision and care. Our advanced whitening techniques go beyond surface stains, revealing the brightest version of your smile while maintaining the integrity of your enamel.

A Tailored Approach to Teeth Whitening

No two smiles are the same, which is why Dr. Kelly takes a customized approach to every treatment. Whether years of coffee, wine, or everyday discoloration have dulled your teeth, our whitening solutions are designed to lift stains gently and effectively—without causing sensitivity.

  • Professional, high-end whitening technology for dramatic yet natural results
  • Enamel-safe, clinically proven techniques that preserve the health of your teeth
  • Custom in-office & take-home options for a whitening experience that suits your lifestyle
  • Whitening treatments tailored to complement your unique smile and facial aesthetics
Experience Unmatched Care & Expertise

With years of expertise in cosmetic dentistry, Dr. Russell Kelly, DDS is known for his attention to detail and artistic precision. Every treatment is designed to enhance not just your smile, but your overall appearance and confidence.

📍 Located in the heart of City of Orange, CA, we proudly serve clients from Anaheim, Tustin, Villa Park, and beyond who seek a luxury dental experience with exceptional results.

🔹 Your Perfect Smile Awaits
Discover the power of a whiter, brighter smile with the expert touch of Dr. Russell Kelly, DDS. Schedule your private consultation today and step into a world of elevated cosmetic dentistry.

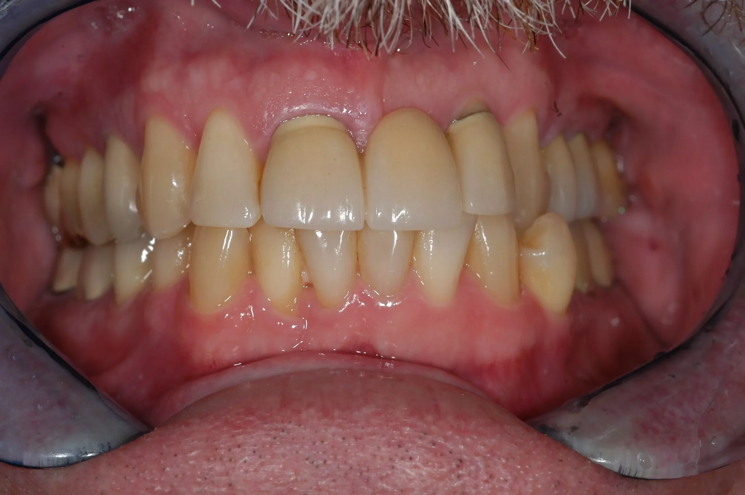
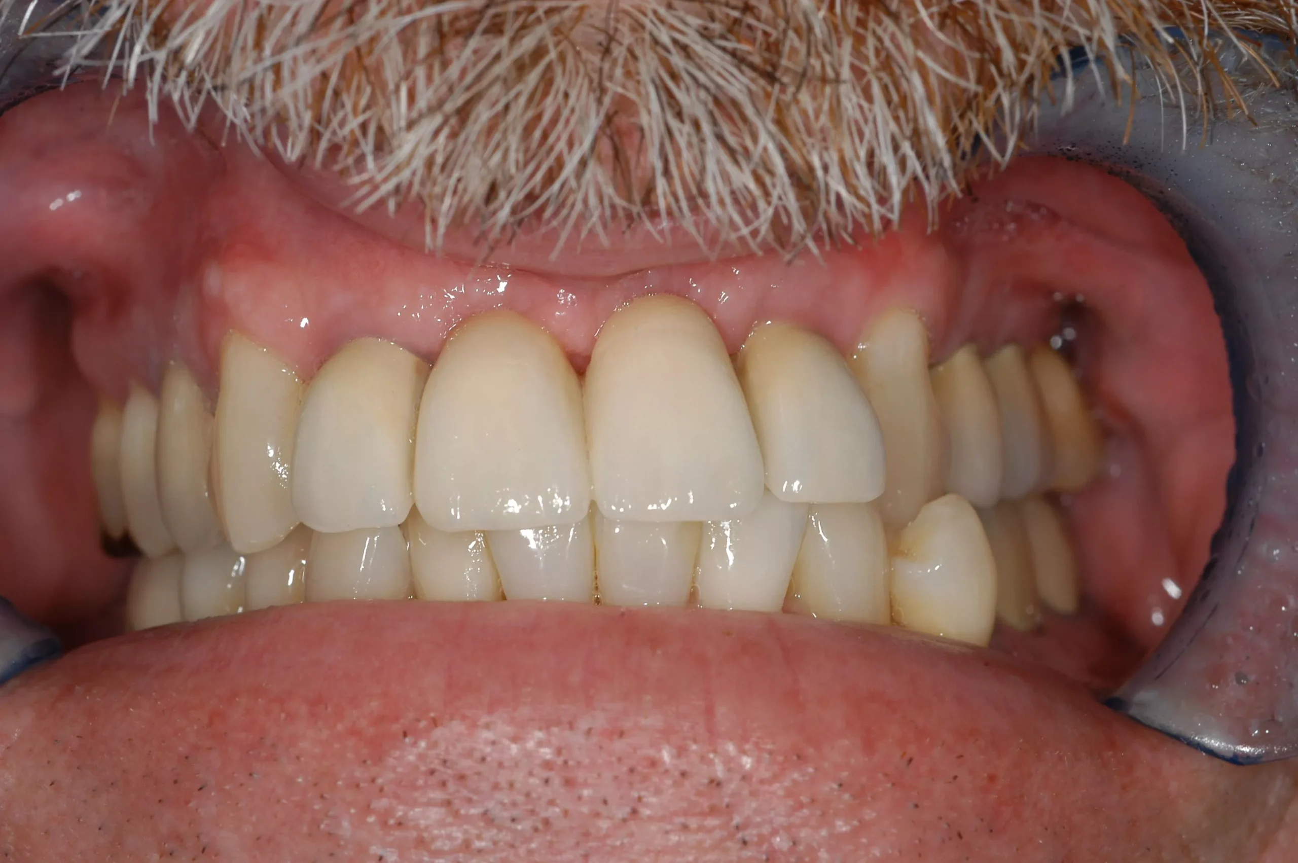
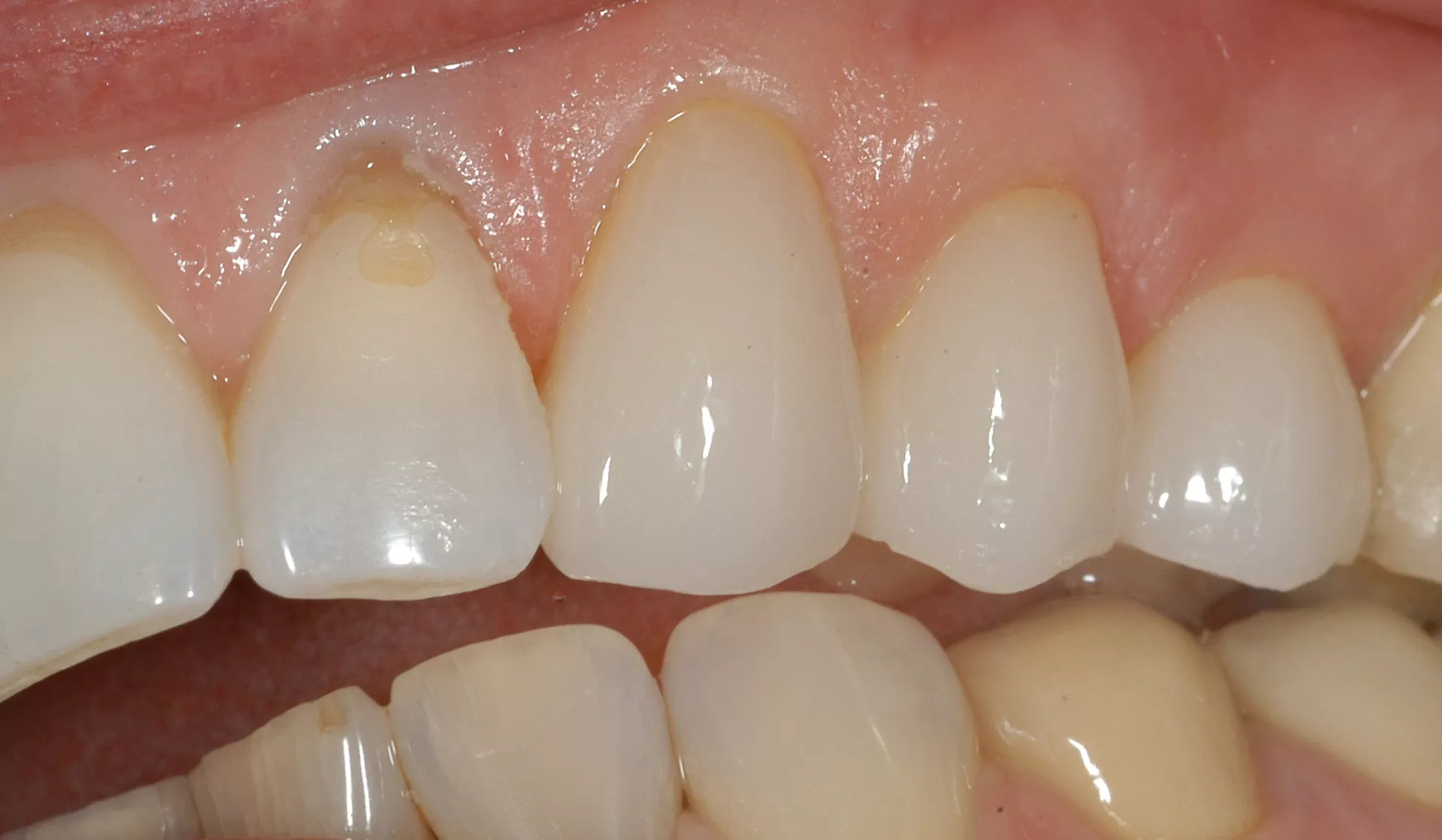
Before After

A Seamless Way to Achieve Your Perfect Smile

Imagine achieving a perfectly aligned smile—without anyone noticing. At Dr. Russell Kelly, DDS, we offer Invisalign® clear aligners, the modern and sophisticated solution for straightening teeth comfortably and discreetly. Designed for those who value both aesthetics and convenience, Invisalign® gently guides your teeth into their ideal position without the discomfort or visibility of traditional braces.

Why Choose Invisalign® with Dr. Russell Kelly, DDS?
  • Virtually Invisible – Custom-made, clear aligners that blend seamlessly with your smile.
  • Comfort & Convenience – No metal wires or brackets; aligners are removable for effortless eating and oral care.
  • Advanced Digital Precision – State-of-the-art scanning ensures a precise, comfortable fit for optimal results.
  • Faster, Predictable Results – Achieve a beautifully straight smile with minimal disruption to your lifestyle.
A Tailored, Luxury Orthodontic Experience

Dr. Russell Kelly, DDS, specializes in refined, patient-centered cosmetic dentistry, ensuring your Invisalign® treatment is personalized to enhance both your smile and facial aesthetics. Whether correcting crowding, gaps, or misalignment, we take a holistic approach to smile design, delivering results that are as natural as they are stunning.

📍 Located in City of Orange, CA, we serve discerning patients from Anaheim, Tustin, Villa Park, and surrounding areas, offering a premium Invisalign® experience backed by expertise and artistry.

🔹 Your Journey to a Perfect Smile Starts Here
Discreetly transform your smile with Invisalign® at Dr. Russell Kelly, DDS. Schedule your private consultation todayand take the first step toward a confident, beautifully aligned smile.

Before After
Before After
Before After

Natural-Looking Restorations with Dr. Russell Kelly, DDS

A complete, confident smile is more than just aesthetics—it’s about strength, function, and lasting health. At Dr. Russell Kelly, DDS, we specialize in state-of-the-art dental implants, offering the most advanced and permanent solution for replacing missing teeth. Designed to look, feel, and function like natural teeth, implants restore your ability to eat, speak, and smile with absolute confidence.

Why Choose Dental Implants?

  • Unrivaled Stability & Durability – A permanent solution that integrates seamlessly with your jawbone.
  • Preserves Jawbone Health – Prevents bone loss, maintaining facial structure and oral health.
  • No Damage to Surrounding Teeth – Unlike bridges, implants don’t rely on adjacent teeth for support.
  • Custom-Crafted for Perfection – Each implant is meticulously designed to match your natural smile.
Precision & Excellence – A Tailored Implant Experience

At Dr. Russell Kelly, DDS, we go beyond the ordinary. Using cutting-edge technology and digital precision, each implant is placed with unparalleled accuracy for optimal comfort and aesthetics. Our practice is known for its refined approach to cosmetic and restorative dentistry, ensuring that every patient receives a customized solution that blends seamlessly with their natural teeth.

📍 Located in City of Orange, CA, we proudly serve patients from Anaheim, Tustin, Villa Park, and surrounding areas, delivering exceptional dental artistry in a comfortable, modern setting.

🔹 Restore Your Smile with Confidence
Experience the gold standard in tooth replacement with dental implants at Dr. Russell Kelly, DDS. Schedule your private consultation today and rediscover the joy of a strong, radiant smile.

Before After

Expertly Crafted for Function, Aesthetics, and Long-Term Health

At Dr. Russell Kelly, DDS, we believe that restorative dentistry should be both functional and beautifully natural. Our custom-designed dental crowns provide exceptional durability and aesthetics, protecting weakened or damaged teeth while seamlessly blending with your natural smile.

Each crown is meticulously crafted to restore the integrity of your tooth, ensuring a precise, comfortable fit that enhances both function and appearance. Whether addressing tooth fractures, decay, or cosmetic imperfections, our crowns offer a long-lasting solution that maintains the natural balance of your smile.

Why Choose Dr. Russell Kelly for Dental Crowns?
  • Custom, Natural-Looking Restorations – Designed to mimic the translucency and shape of real teeth.
  • Durable, High-Quality Materials – Crafted for strength, longevity, and stain resistance.
  • Precise Fit & Expert Aesthetics – Every crown is tailored to your unique smile for seamless integration.
  • Protects & Strengthens Teeth – Restores function while preventing further damage or decay.
Advanced Dentistry with an Artisanal Touch

With Dr. Russell Kelly’s expertise in cosmetic and restorative dentistry, your dental crown is more than just a restoration—it’s a refinement of your smile’s natural beauty. Using cutting-edge technology and a meticulous, detail-oriented approach, we ensure that each crown offers exceptional function, strength, and aesthetic harmony.

📍 Located in City of Orange, CA, our practice proudly serves patients from Anaheim, Tustin, Villa Park, and beyond, offering a high-end restorative experience with a focus on comfort and precision.

🔹 Elevate Your Smile with Custom Dental Crowns
Experience the artistry and expertise of Dr. Russell Kelly, DDS. Schedule your private consultation today and restore your smile with the finest in modern restorative dentistry.

Before After

Minimally Invasive, Precision Care with Biolase® Technology

At Dr. Russell Kelly, DDS, we redefine dental care with advanced laser dentistry, offering a gentle, precise, and minimally invasive approach to treatment. Using the innovative Biolase® laser system, we perform high-precision procedures that enhance patient comfort, reduce healing time, and minimize the need for anesthesia.

The Benefits of Laser Dentistry
  • Minimized Discomfort – Gentle, virtually painless procedures with less reliance on anesthesia.
  • Faster Healing & Less Downtime – Reduced bleeding, swelling, and post-treatment discomfort.
  • Preserves Healthy Tissue – Targeted treatment means greater precision with minimal impact on surrounding areas.
  • Lower Risk of Infection – Laser sterilization reduces bacteria, promoting a healthier healing process.
A High-Tech, Patient-Centered Approach

With a commitment to modern, patient-focused care, Dr. Russell Kelly, DDS ensures that every treatment is performed with the utmost precision and comfort. By integrating laser technology into our cosmetic and restorative procedures, we provide exceptional results with a seamless, pain-free experience.

📍 Located in City of Orange, CA, our practice proudly serves patients from Anaheim, Tustin, Villa Park, and beyond, offering a luxury dental experience that prioritizes innovation, comfort, and excellence.

🔹 Experience the Future of Dentistry Today
Discover the transformative benefits of laser dentistry with Dr. Russell Kelly, DDS. Schedule your private consultation today and enjoy the most advanced, minimally invasive dental care available.

Biolase iPlus_Platinum Laser Dentistry

Flawless, Natural-Looking Enhancements with Dr. Russell Kelly, DDS

Your smile is a reflection of confidence, and at Dr. Russell Kelly, DDS, we create stunning, custom-designed porcelain veneers that enhance your natural beauty with precision and artistry. Ultra-thin yet incredibly durable, veneers are the ultimate solution for concealing stains, chips, gaps, and misalignment, delivering a radiant, perfectly balanced smile.

Why Choose Porcelain Veneers?
  • Seamlessly Natural Appearance – Crafted to match the translucency and shape of real teeth.
  • Long-Lasting & Stain-Resistant – Maintains brilliance for years with proper care.
  • Minimally Invasive – Preserves most of your natural tooth structure.
  • Instant Transformation – Achieve a flawless, confident smile in just a few visits.
A Tailored, Luxury Smile Experience

Renowned for his expertise in cosmetic dentistry, Dr. Russell Kelly, DDS designs veneers that are not just restorations—they are masterpieces of precision and aesthetics. Every set of veneers is custom-crafted to complement your facial features, symmetry, and personality, ensuring a truly bespoke, natural-looking enhancement.

Located in City of Orange, CA, we proudly serve clients from Anaheim, Tustin, Villa Park, and surrounding areas, delivering a concierge-level cosmetic dentistry experience.

Your Dream Smile Begins Here
Unveil the power of a flawlessly radiant smile with porcelain veneers at Dr. Russell Kelly, DDS. Schedule your private consultation today and take the first step toward the ultimate smile transformation.

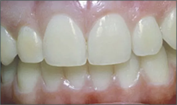
Before After

A Tranquil, Anxiety-Free Dental Experience with Dr. Russell Kelly, DDS

At Dr. Russell Kelly, DDS, we redefine the dental experience with a calm, spa-like approach to care. If dental visits have ever felt overwhelming, our relaxation dentistry techniques provide the perfect solution—combining gentle sedation, soothing amenities, and a stress-free environment to ensure your utmost comfort.

From the moment you arrive, every detail is designed to promote serenity and ease, allowing you to receive world-class dental care without anxiety.

Why Choose Relaxation Dentistry?
  • Personalized Comfort – Tailored sedation options to meet your individual needs.
  • Stress-Free Treatments – Experience dentistry in a calm, anxiety-free setting.
  • Pain-Free Precision – Advanced techniques that minimize discomfort while enhancing results.
  • Luxury Care, Elevated Experience – Designed for those who prioritize both wellness and high-end care.
A Refined, Patient-Centric Approach

Dr. Russell Kelly, DDS, is known for his expertise in gentle, patient-focused care, ensuring that every visit feels seamless, relaxing, and tailored to your comfort. Whether you require sedation dentistry or a soothing atmosphere, we create a space where your well-being is the priority.

Located in City of Orange, CA, we proudly serve patients from Anaheim, Tustin, Villa Park, and surrounding communities, offering a concierge-level dental experience with an unwavering commitment to patient comfort and excellence.

Transform the Way You Experience Dentistry
Discover the luxury of relaxation dentistry at Dr. Russell Kelly, DDS. Schedule your private consultation today and enjoy the most calm, comfortable, and sophisticated approach to dental care.

Before After

Where Artistry Meets Advanced Dentistry with Dr. Russell Kelly, DDS

Your smile is a reflection of your confidence, personality, and uniqueness. At Dr. Russell Kelly, DDS, we specialize in luxury smile makeovers, blending cutting-edge cosmetic dentistry with an artistic, personalized approach to create a smile that is uniquely yours.

Whether enhancing alignment, symmetry, brightness, or overall aesthetics, each treatment plan is custom-designed to complement your natural features while achieving your ideal smile. From porcelain veneers and crowns to precision teeth whitening and advanced cosmetic restorations, every step is meticulously tailored for a seamless, natural transformation.

Why Choose a Smile Makeover with Dr. Kelly?
  • Customized, Hand-Crafted Smile Enhancements – Designed to match your unique facial aesthetics.
  • Advanced Cosmetic Dentistry Techniques – Incorporating state-of-the-art technology for precision results.
  • A Holistic, Detail-Oriented Approach – Enhancing balance, symmetry, and overall smile harmony.
  • Confidence-Boosting Transformations – Achieve a radiant, natural-looking smile that reflects your best self.
Elevating Your Smile with Expert Craftsmanship

Renowned for his exceptional skill in cosmetic and restorative dentistry, Dr. Russell Kelly, DDS, approaches each smile makeover as both a science and an art. His dedication to aesthetic excellence and patient satisfaction ensures that your new smile will not only look beautiful—but feel completely natural.

Located in City of Orange, CA, we proudly serve discerning clients from Anaheim, Tustin, Villa Park, and surrounding communities, delivering a concierge-level cosmetic dentistry experience.

Unveil the Smile You’ve Always Wanted
Discover the power of a fully customized smile transformation at Dr. Russell Kelly, DDS. Schedule your private consultation today and let’s craft a smile that is as radiant, refined, and confident as you are.

Before After

Located in the heart of Orange County, our practice is proud to serve patients from Anaheim, Tustin, Villa Park, and surrounding areas, offering an elevated dental experience that complements the city’s distinctive character.

Experience the Best Dentist in the City of Orange, CA

At Dr. Russell Kelly, DDS, we are proud to serve a community that embraces heritage, innovation, and an exceptional quality of life. Schedule your private consultation today and experience personalized, world-class dental care in the heart of Orange County.

Osstem: A Game-Changer in Advanced Dental Imaging at Dr. Russell Kelly, DDS in Orange, CA

Osstem T2 CBCT Cone Beam Computed Tomography scanner
Osstem Scanner
Osstem T2 CBCT Orange, CA Cephalometric
Osstem T2 CBCT Orange, CA Implant Consultation

At Dr. Russell Kelly, DDS, patient safety and comfort are at the center of everything we do. That commitment is one of the reasons we invest in advanced dental technology that allows us to deliver exceptional care while minimizing risk. One of the most important tools we use in our Orange, CA dental office is the Osstem digital imaging scanner, a modern system designed to capture detailed images using significantly lower radiation than traditional CT scans.

Dental X-rays are an essential part of preventive and diagnostic care, but many patients understandably have questions about radiation exposure. Today’s digital imaging technology allows us to gather the information we need with far greater efficiency and far less exposure than older methods. The Osstem scanner represents a major step forward in both safety and precision, giving patients confidence that their care is both thorough and responsible.

Unlike traditional dental X-rays that only provide flat, two-dimensional images, the Osstem scanner captures highly detailed digital images of your teeth, jaw, bone, nerves, and surrounding structures. Most importantly, it does this using advanced low-dose radiation protocols, ensuring that patients receive only the minimum exposure necessary to obtain accurate results.

Osstem T2 CBCT Orange, CA Implant Dr. Kelly, DDS

The Importance of the Osstem Scanner in Modern Dentistry

Modern dentistry depends on accurate diagnostics—but accuracy should never come at the expense of patient safety. The Osstem scanner allows us to see more while exposing patients to less, which is especially important for preventive care, treatment planning, and long-term oral health monitoring.

Lower Radiation for Greater Peace of Mind

One of the most important benefits of the Osstem imaging system is its low-radiation technology. Compared to traditional medical CT scans, this system delivers a much smaller dose of radiation while still producing exceptionally clear images. For patients who require dental imaging—whether for routine exams, implants, orthodontics, or evaluation of pain—this means safer diagnostics without compromising quality.

This reduced radiation exposure is particularly beneficial for:

  • Patients who need multiple images over time

  • Children and teens with developing tissues

  • Adults who want to minimize cumulative exposure

  • Patients with complex dental needs requiring precise imaging

By using targeted imaging and modern digital sensors, we limit radiation to only the area being examined, avoiding unnecessary exposure to surrounding tissues.

Clearer Images Lead to Safer Treatment

Low radiation does not mean low quality. The Osstem scanner produces high-resolution images that allow us to clearly visualize:

  • Tooth roots and nerves

  • Bone density and structure

  • Sinuses and jaw joints

  • Areas that are difficult or impossible to see with traditional X-rays

This clarity allows Dr. Kelly to diagnose issues early and accurately, often before symptoms appear. Early detection means simpler treatment, less discomfort, and better long-term outcomes for patients.

Fewer Retakes, Less Exposure

Because the images captured are so precise, there is far less need to repeat scans. Fewer retakes mean:

  • Shorter appointments

  • Less radiation exposure overall

  • A smoother, more comfortable experience

Patients typically remain seated or standing comfortably during the scan, and the process is quick and non-invasive.

Safer Planning for Advanced Procedures

For procedures such as dental implants, orthodontic treatment, wisdom tooth evaluation, and restorative dentistry, precision is essential. The Osstem scanner allows Dr. Kelly to plan treatment digitally, ensuring implants are placed safely away from nerves and sinuses and restorations are designed to fit properly from the start.

Better planning reduces the risk of complications and often shortens recovery time—another way technology improves patient safety.

A Smarter Approach to Preventive Dentistry

Advanced imaging isn’t just for complex cases. It also plays a key role in preventive care by helping detect:

  • Early bone loss

  • Hidden decay between teeth

  • Impacted or misaligned teeth

  • Jaw joint issues

By identifying these concerns early, we can often prevent more serious problems later—reducing the need for extensive treatment and additional imaging in the future.


Technology That Puts Patients First

At Dr. Russell Kelly, DDS, we believe that the best dental care combines clinical excellence with thoughtful technology choices. The Osstem scanner reflects that philosophy by providing highly accurate imaging while prioritizing patient safety through low-radiation exposure.

If you have questions about dental X-rays, imaging safety, or whether advanced digital scans are right for you, our team is always happy to explain your options. Our goal is to help you feel informed, comfortable, and confident at every step of your care.

Two Column Compare Plus Cart

Discover the Power of Digital Precision with iTero Element®

Key Features & Benefits of iTero for Our Patients

At Dr. Russell Kelly, DDS in Orange, CA, we’re committed to providing our patients with the best in modern dentistry. That means investing in advanced technology that improves your comfort, enhances diagnostic accuracy, and leads to better long-term outcomes. One of the most powerful tools we use in our office is the iTero Element® Plus intraoral scanner.

The iTero Element Plus is a state-of-the-art digital imaging system that allows us to capture highly detailed 3D scans of your teeth and gums—quickly, comfortably, and with exceptional precision. These digital scans help us plan treatments more accurately, create custom restorations like crowns and Invisalign® aligners, and clearly show you what’s happening in your mouth.

If you’ve ever experienced traditional dental impressions with bulky, messy trays, you’ll appreciate this upgrade. The iTero scanner replaces those old-fashioned molds with a smooth, wand-style scan that takes just minutes and involves no goop, no discomfort, and no gagging.

Beyond comfort, the iTero Element Plus also enhances early detection and patient understanding by providing clear, high-definition images we can review together. This allows for more informed decisions, better communication, and treatment plans tailored specifically to your smile.

It’s just one more way Dr. Kelly combines advanced technology with personalized care to deliver a better dental experience for our Orange, CA patients.

No Goop. No Gagging.

Traditional dental impressions are a thing of the past. The iTero Element® Plus uses a small, handheld scanning wand to create a detailed 3D digital model of your teeth—quickly, comfortably, and without messy materials or discomfort.

Fast, Highly Accurate Results

The iTero Element Plus delivers exceptional precision in real time, allowing Dr. Kelly to plan treatments with confidence. From Invisalign® aligners to crowns, bridges, and veneers, this accuracy leads to better outcomes and fewer adjustments.

Preview Your Future Smile

With advanced smile simulation technology, you can see a visual preview of potential treatment results before care even begins. This is especially helpful for patients exploring Invisalign® or cosmetic dentistry options.

Better-Fitting Restorations

Because digital impressions capture exact details of your bite and tooth structure, restorations created from iTero scans tend to fit more naturally and comfortably, reducing the need for remakes or additional visits.

A More Comfortable Dental Experience

The scanning process is non-invasive, gentle, and completely pain-free. It’s an ideal option for patients who have a sensitive gag reflex or feel anxious about traditional dental procedures.